Beame 自有光牙科由香港專業團隊直營,在香港設有6間門市支援。
網上預約即送 $300 牙科消費券

每年服務逾10萬香港客人
香港牙醫設計及把關流程
全港最多門市覆蓋
先了解再決定,無隱費
超過50,000位滿意顧客的信賴之選,看看他們的蛻變故事

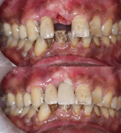
口腔狀況: 患者牙列缺損
治療方案: 植骨+種植+全瓷冠修復
術後效果: 因為骨頭條件不好加了骨粉,醫生說修復時間比較久一點,終於等到能裝牙了,好激動,牙齒裝上去後試了試,挺好,終於可在露牙笑了,謝謝醫生

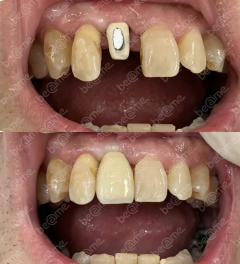
口腔狀況: 患者牙齒缺失
治療方案: 種植修復+全瓷冠修復
術後效果: 戴上牙後非常滿意,牙冠做的真牙一樣,能正常使用瑞也不用為吃東西而煩惱,感謝醫生!

口腔狀況: 患者牙列缺損
治療方案: 種植+全瓷冠修復
術後效果: 很快就裝上牙,我以為要等很久,我之前牙有外突,跟醫行溝通後,醫生幫我改變了牙齒的外型,現在牙齒整齊多了,太感謝醫生了
自有光牙科 · 香港團隊直營 · 廣東話服務
聽聽北上深圳睇牙的香港客人真實分享,放心北上,放心選擇自有光
北上做植牙,自有光全程廣東話溝通,前台非常親切。CT掃描免費,報價後才決定,完全無壓力!
由羅湖步行去到,完全唔遠!洗牙加補牙一次過搞掂,費用係香港嘅三分之一,非常抵!
香港預約、深圳睇牙,體驗非常順暢。牙冠實質素好,術後有保養,完全放心!
每年服務逾 10 萬人次,香港人信賴之選
年服務人次
香港門市
香港價錢
由預約到完成治療,全程有廣東話客服支援,輕鬆北上睇牙
透過網上或WhatsApp選擇諮詢時段,快捷方便
由羅湖口岸步行约8分鐘到達佳寧娜廣場,如需改期可直接聯絡客服
術前CT掃描完全免費,深圳牙醫團隊了解您的口腔狀況
確認報價後開始服務,不接受報價不收費,由合資格牙醫進行
完成後付款,可接受港幣結算,並按醫生建議預約下一次複診
多家香港主流媒體報導,全港最多門市連鎖牙科品牌
深圳自有光牙科門診服務獲香港主流媒體報導
2024香港及深圳最大連鎖專業牙科品牌
2024確保每個個案都享有乾淨衛生的醫療服務
持續獲香港媒體推薦的北上睇牙首選品牌
2023香港門市先諮詢,深圳旗艦門診睇牙,全程廣東話支援
創立於香港,深根大灣區,守護港人牙齒健康
每年服務人次

Be@me 自有光創立於香港,擁有多間門市及門診,直接網上預約最快即日睇牙。深圳旗艦門診位於佳寧娜廣場,由羅湖關口步行僅需8分鐘,交通極為便利。
作為全港及深圳最多門市的連鎖牙科品牌,我們是唯一品牌提供門市免費1:1諮詢、口腔CT掃描服務及免費線上預約,服務費用僅其他香港牙科療程的1/3價錢。
全港牙醫不足,我們致力為香港人提供可負擔的優質牙科選擇
所有服務流程由香港團隊制定,確保每個療程達到標準
全港及深圳最多門市的連鎖牙科品牌,6間香港諮詢點全力支援
媒體推薦








